Версия для людей с ограничением по зрению
detigemchug@bk.ru
г. Обнинск, ул. Гагарина, д. 7
с 8:30 до 19:30. ВС — выходной
перерыв с 13:30 до 14:30
8 (900) 574-62-62
8 (484) 397-25-62
Услуги
Лечение зубов
Герметизация фиссур
Лечение временных зубов
Лечение постоянных зубов
Профгигиена
Зубные отложения
Профилактика кариеса
Исправление прикуса
Аппарат Гербста
Аппарат ХААСА
Брекеты
Ретейнеры
Аппарат Твин Блок
Пластинки
Элайнеры
Эластокорректор
Рентгенография
КЛКТ
ОРТО снимок
Прицельный снимок
Телерентгенограмма
Цены
Врачи
Отзывы
Видео
Документы
О центре
Вакансии
Вопросы и ответы
ДМС
Информация о мед.помощи
Информация правовая
Лицензия
Новости
Форма для подачи электронного обращения
Фотогалерея
Фото работ
Журнал
Контакты
ОБРАТНЫЙ ЗВОНОК
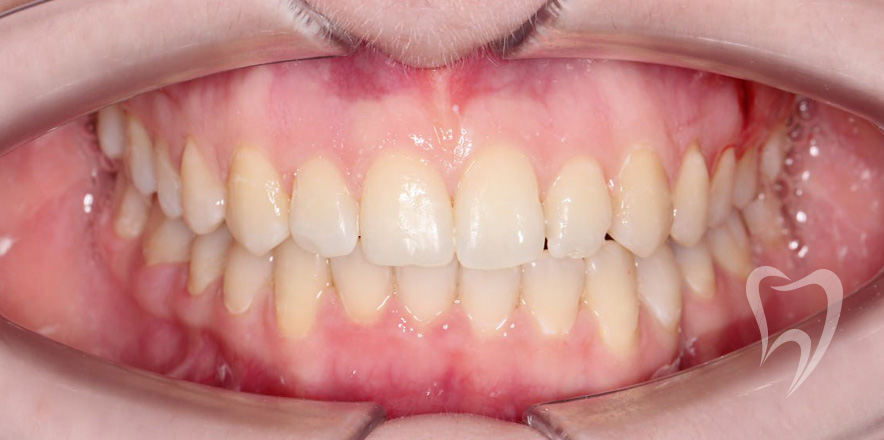
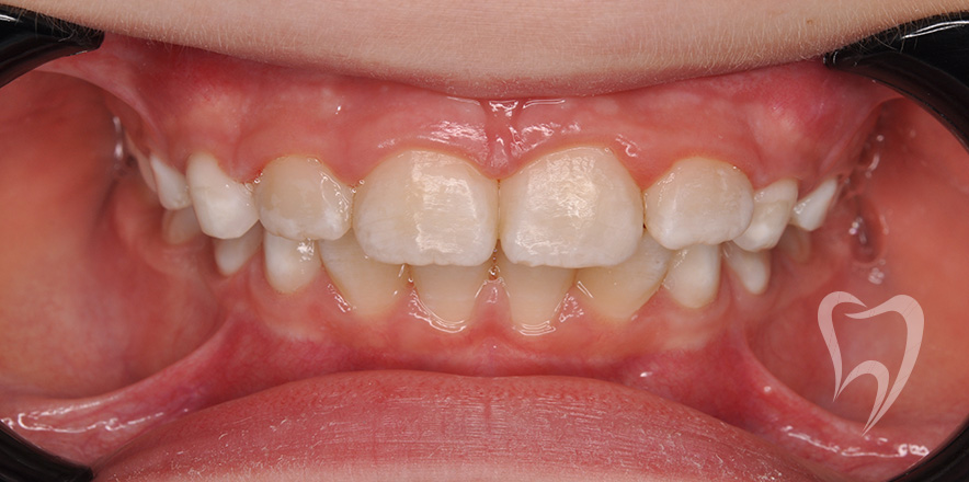
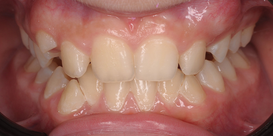
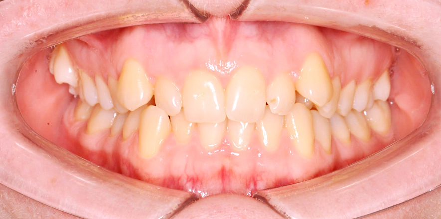
Фото работ
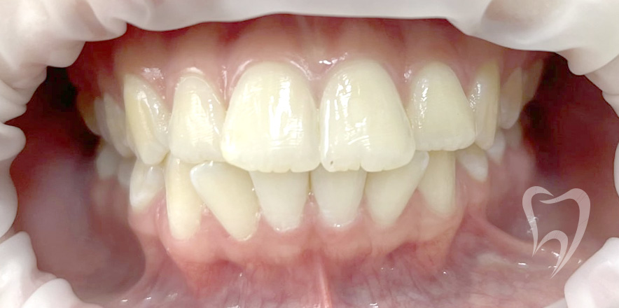
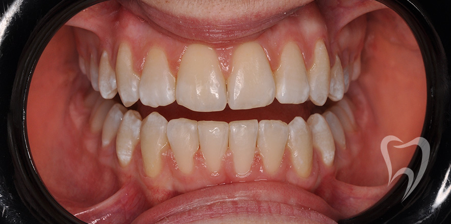
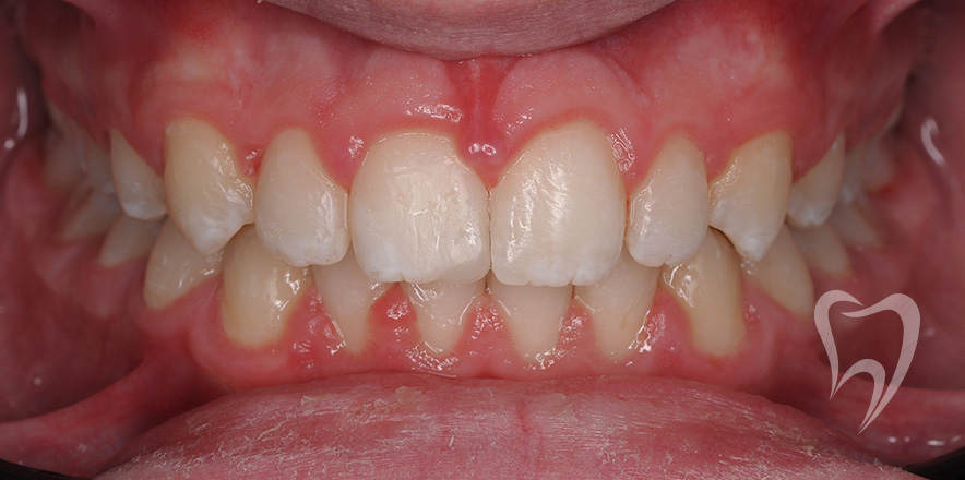
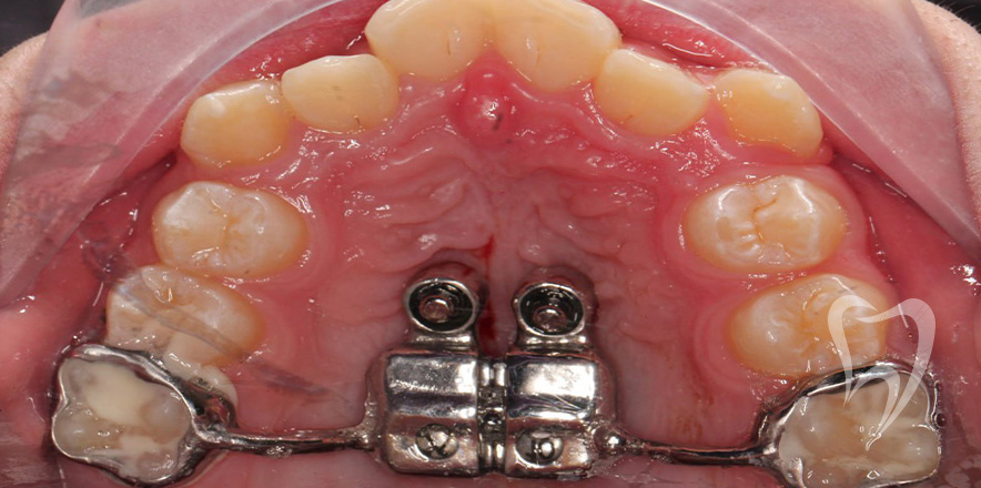
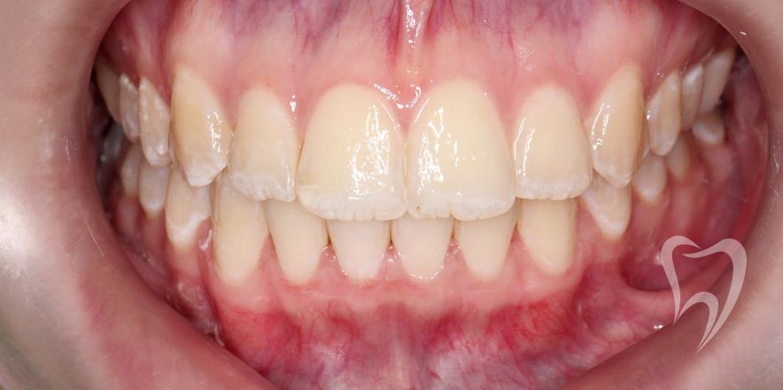
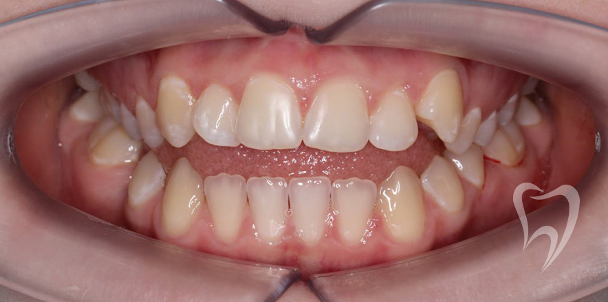
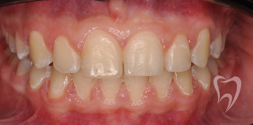
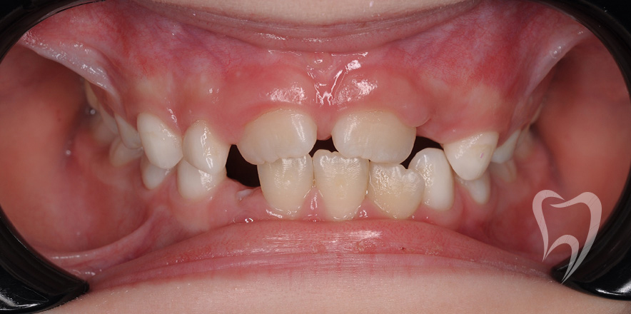
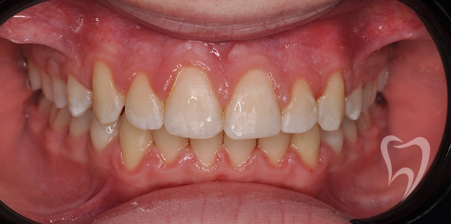
До и после лечения аппаратом Хаас
Врач: Ковалёва Алина Александровна
Read more
Меню
Мы используем cookie. Это позволяет нам анализировать взаимодействие посетителей с сайтом и делать его лучше. Продолжая пользоваться сайтом, вы соглашаетесь с использованием файлов cookie.
Политика конфиденциальности
Ok